Innovatives Filament für die Kieferorthopädie
Entdecken Sie unser einzigartiges Filament, das keine Isolation benötigt und höchste Qualität bietet.
Vorteile
Die Zukunft des 3D-Drucks für Kieferorthopäden
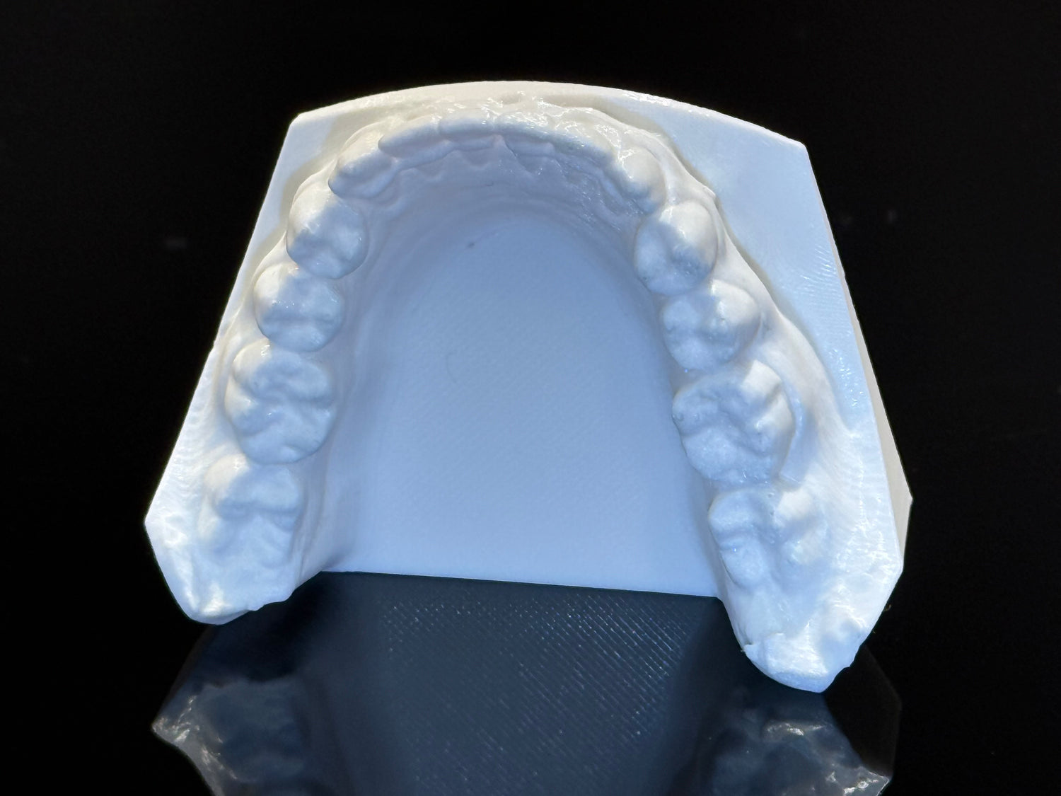
Unser innovatives Filament ermöglicht eine einfache und effiziente Herstellung herausnehmbarer Spangen. Profitieren Sie von einer Zeitersparnis und einer höheren Präzision in Ihrer Praxis.
Vorteile
Die Vorteile unseres hochwertigen 3D-Druckfilaments
Unser Filament bietet Kieferorthopäden eine effiziente Lösung für die Herstellung von Modellen für herausnehmbare Spangen. Es ist einfach zu verarbeiten und benötigt keine isolierenden Maßnahmen.
- Hohe Präzision und einfache Handhabung für Ihre Praxis.
- Kosteneffiziente Produktion ohne zusätzliche Isolation.
- Verbesserte Abläufe für Ihr kieferorthopädisches Labor.
Entdecken Sie die Vorteile unseres Filaments - Unser Filament für 3D-Drucker bietet eine Vielzahl von Vorteilen, die ihre Arbeit erleichtern. Es ist speziell für Kieferorthopäden entwickelt und sorgt für herausragende Ergebnisse.
-
Für ein müheloses Druckerlebnis ohne erhöhte Anforderungen
Einfach in der Verarbeitung und perfekt im Ergebnis.
-
Keine Isolierung erforderlich für einfache Anwendung
Dank der speziellen Formulierung ist keine zusätzliche Isolierung nötig.
-
Langlebig und widerstandsfähig für langfristige Nutzung
Die hohe Haltbarkeit gewährleistet eine langfristige Nutzung ohne Qualitätsverlust.
Schritt-für-Schritt-Anleitung zur Verwendung unseres innovativen 3D-Druck-Filaments
-
Einfaches Verfahren zur Herstellung herausnehmbarer Spangen mit unserem Filament
Unser Filament ermöglicht eine unkomplizierte und effiziente Herstellung von kieferorthopädischen Modellen.
-
Optimale Druckeinstellungen für beste Ergebnisse mit unserem Filament
Stellen Sie sicher, dass Ihr 3D-Drucker richtig kalibriert ist, um optimale Ergebnisse zu erzielen.
-
Tipps zur Nachbearbeitung für perfekte herausnehmbare Spangen
Erzeugen Sie untersichgehende Stellen für Halteelemente mit einem heißen Instrument.
Shiny Filaments
Wonderfil - isolationsfreies KFO-Filament
Teilen

Blog & News
Alle anzeigen-
Wonderfil Presets für Bambu Lab Drucker (nicht ...
Für viele Bambu Lab Druckermodelle stellen wir Wonderfil-Presets zur Verfügung. Diese Presets basieren auf unseren empfohlenen Druckparametern und ermöglichen eine schnelle Einrichtung von Wonderfil in Bambu Studio. ⚠️ Wichtig:Die in...
Wonderfil Presets für Bambu Lab Drucker (nicht ...
Für viele Bambu Lab Druckermodelle stellen wir Wonderfil-Presets zur Verfügung. Diese Presets basieren auf unseren empfohlenen Druckparametern und ermöglichen eine schnelle Einrichtung von Wonderfil in Bambu Studio. ⚠️ Wichtig:Die in...
-
Einrichtung ohne Presets – Wonderfil auf Bambu ...
Manuelle Einrichtung Schritt für Schritt Nicht für alle Bambu Lab Druckermodelle stehen aktuell fertige Wonderfil-Presets zur Verfügung. Wonderfil lässt sich jedoch auch auf diesen Druckern zuverlässig und reproduzierbar einsetzen –...
1 KommentarEinrichtung ohne Presets – Wonderfil auf Bambu ...
Manuelle Einrichtung Schritt für Schritt Nicht für alle Bambu Lab Druckermodelle stehen aktuell fertige Wonderfil-Presets zur Verfügung. Wonderfil lässt sich jedoch auch auf diesen Druckern zuverlässig und reproduzierbar einsetzen –...
1 Kommentar -
Wonderfil ist wieder verfügbar – Rückblick auf ...
🔔 Update:Wonderfil ist ab sofort wieder verfügbar und kann wieder regulär bestellt werden.Die neue Produktionscharge ist in unserem Lager eingetroffen und sofort lieferbar. Die Nachfrage nach Wonderfil hat unsere Erwartungen...
Wonderfil ist wieder verfügbar – Rückblick auf ...
🔔 Update:Wonderfil ist ab sofort wieder verfügbar und kann wieder regulär bestellt werden.Die neue Produktionscharge ist in unserem Lager eingetroffen und sofort lieferbar. Die Nachfrage nach Wonderfil hat unsere Erwartungen...
Hier finden Sie Antworten auf häufig gestellte Fragen zu unserem 3D-Druck-Filament.
Häufige Fragen
Was ist 3D-Filament?
3D-Filament ist ein Material, das für den 3D-Druck verwendet wird. Unser Filament ist speziell für die Herstellung von herausnehmbaren Spangen konzipiert.
Wie wird es verwendet?
Das Filament wird in einem 3D-Drucker geladen und dann erhitzt, um es zu verflüssigen. Anschließend wird es Schicht für Schicht aufgetragen, um das gewünschte Objekt zu erstellen. Es ist einfach zu bedienen und effizient.
Ist es sicher?
Ja, unser Filament ist sicher für den Einsatz in der Kieferorthopädie. Es erfüllt alle erforderlichen Sicherheitsstandards. Zudem ist es aus biokompatiblen Grundstoffen hergestellt.
Wie lange hält es?
Die Haltbarkeit von der Nutzung ab, jedoch ist unser Filament für eine lange Lebensdauer ausgelegt. Bei richtiger Lagerung und Handhabung bleibt es über einen längeren Zeitraum stabil. Es sind keine besonderen Anforderungen an die Trocknung notwendig.
Welche Druckeinstellungen werden empfohlen?
Für optimale Druckergebnisse empfehlen wird folgende Einstellungen:
- Drucktemperatur: 240 °C
- Druckbett-Temperatur: 100 °C
- Druckbett-Empfehlung: Bambu Textured PEI Plate / Prusa: Satiniertes pulverbeschichtetes Stahlblech
Gibt es Druckeinstellungen als Download?
Ja, wir bieten vordefinierte Druckeinstellungen (Presets) für die gängigsten 3D-Drucker in der Kieferorthopädie an. Diese helfen dir, Wonderfil mit optimalen Parametern zu drucken und sorgen für perfekte Druckergebnisse.
Druckeinstellungen für den Bambu Lab X1E
- Drucker-Presets für den Bambu Lab X1E herunterladen
- Filament-Presets für den Bambu Lab X1E herunterladen
- Prozess-Presets für spezifische Anwendungen am Bambu Lab X1E
Druckeinstellungen für den Bambu Lab X1C
- Drucker-Presets für den Bambu Lab X1C herunterladen
- Filament-Presets für den Bambu Lab X1C herunterladen
- Prozess-Presets für spezifische Anwendungen am Bambu Lab X1C
Druckeinstellungen für den Prusa i3 MK3S+
Anleitung zum Importieren der Presets
Falls du dir unsicher bist, wie du die Presets in Bambu Studio importierst, findest du hier eine detaillierte Anleitung:
Falls dein Drucker nicht aufgeführt ist oder du individuelle Anpassungen benötigst, melde dich gerne bei uns!
Gibt es Presets für nicht getestete Bambu Lab Drucker?
Ja.
Da uns nicht jedes Bambu Lab Druckermodell physisch zur Verfügung steht, konnten die Presets nicht auf allen Geräten praktisch getestet werden.
Die Presets basieren jedoch auf:
- unseren empfohlenen Druckparametern
- Erfahrungen aus zahlreichen Praxisanwendungen
- den typischen Prozessparametern von Bambu Lab DruckernSind die Presets auf allen Bambu Lab Druckern getestet?
Eine Schritt-für-Schritt Anleitung zum Import der Presets findest du in unserem Blog:
➡️ Wonderfil Presets für Bambu Lab Drucker (nicht getestete Profile)
https://shinyfilaments.de/blogs/news/wonderfil-presets-fur-bambu-lab-drucker-nicht-getestete-profile